Χειρουργική Τεχνική
- Η επέμβαση εκτελείται συνήθως με μέση στερνοτομή.
- Gold standard αποτελεί η χρήση της έσω μαστικής αρτηρίας (δεξιά και αριστερά) που βρίσκονται πλάγια του στέρνου. ξεκινούν από την αορτή και καταλήγουν στις στεφανιαίες αρτηρίες.
- Τα φλεβικά μοσχεύματα λαμβάνονται συνήθως από την έσω επιφάνεια των κάτω άκρων, από το πάνω μέρος του μηρού μέχρις του άκρου ποδός. (Συνήθως λαμβάνεται η μείζονα σαφηνής φλέβα). Σαν αρτηριακά μοσχεύματα χρησιμοποιούνται οι κερκιδικές αρτηρίες που αποκόπτονται συνήθως από τα άνω άκρα.
- Άλλο αρτηριακό μόσχευμα είναι η δεξιά γαστροεπιπλοϊκή αρτηρία από το στομάχι, η οποία αφού διέλθει από το διάφραγμα, αναστομούται με τα στεφανιαία αγγεία.

- Πάνω από το 75% των ασθενών έχουν τουλάχιστον τρεις παρακάμψεις/μοσχεύματα από τα οποία τουλάχιστον ένα είναι αρτηριακό.
- Οι περισσότεροι χειρουργοί προτιμούν την χρήση του μηχανήματος της εξωσωματικής κυκλοφορίας.
- Μερικές φορές η επέμβαση γίνεται σε πάλλουσα καρδιά.
- Τα μακροπρόθεσμα ποσοστά επιβίωσης είναι αρκετά ενθαρρυντικά (μέσος χρόνος επιβίωσης από την επέμβαση είναι 23 χρόνια στις επεμβάσεις που εμπλέκεται και ο πρόσθιος κατιών κλάδος).
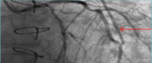
Μετεγχειρητική στεφανιογραφία: Αριστερή Εσω Μαστική αρτηρία (βέλος) έχει συρραφεί στην στεφανιαία αρτηρία (πρόσθιος κατιόντας κλάδος)
Η τεχνική συρραφής ενός μοσχεύματος σε μια στεφανιαία αρτηρία φαίνεται στο σχήμα
Εγχείρηση αορτοστεφανιαίας παράκαμψης σε πάλλουσα καρδιά
Σχετικά νέα εγχειρητική τεχνική αορτοστεφανιαίας παράκαμψης, κύριο χαρακτηριστικό της οποίας είναι ότι η καρδιά παραμένει σε λειτουργία, και δεν χρησιμοποιείται η εξωσωματική κυκλοφορία.
Κατά την κλασσική μέθοδο αορτοστεφανιαίας παράκαμψης η καρδιά σταματά να συστέλλεται και η κυκλοφορία του αίματος γίνεται με τη βοήθεια του ειδικού μηχανήματος της εξωσωματικής κυκλοφορίας.

Η μέθοδος αυτή ονομάζεται αορτοστεφανιαία παράκαμψη σε πάλλουσα καρδιά (beating heart surgery), εφαρμόζεται από το 1990 και σήμερα αποτελεί πρακτική ρουτίνας ορισμένων καρδιοχειρουργών. Οι χειρουργοί που την εφαρμόζουν πιστεύουν ότι πρέπει να τύχει ευρύτερης αποδοχής, αν και υπάρχουν αντικρουόμενες απόψεις για την αποτελεσματικότητα της. Στα μειονεκτήματα της περιλαμβάνονται η έλλειψη πολύχρονων μελετών για τη μακροπρόθεσμη βατότητα των μοσχευμάτων και τη συμβολή της στη μακροχρόνια επιβίωση του ασθενούς. Το σίγουρο είναι ότι η τεχνική αυτή έχει ένδειξη σε ασθενείς με σοβαρή ασβέστωση της ανιούσης αορτής, επηρεασμένη νεφρική ή αναπνευστική λειτουργία ή ασθενείς με ιστορικό εγκεφαλικού επεισοδίου στο παρελθόν.
Ενδείξεις αορτοστεφανιαίας παρακάμψεως
Η εγχείρηση της αορτοστεφανιαίας παράκαμψης (ΑΣΠ) γίνεται με σκοπό την αύξηση του χρόνου επιβίωσης του ασθενούς και τη βελτίωση των συμπτωμάτων.
Οι ενδείξεις αφορούν:
- Ασθενείς με νόσο ενός ή δύο-αγγείων όπου περιλαμβάνεται το εγγύς τμήμα του προσθίου κατιόντα κλάδου.
- Ασθενείς με νόσο του κυρίου στελέχους με νόσο > 50%.
- Η ΑΣΠ υπερέχει της αγγειοπλαστικής με ενδοπρόθεση (stent) σε ασθενείς με σακχαρώδη διαβήτη.
- Η ΑΣΠ υπερέχει όταν συνυπάρχει δυσλειτουργία της αριστεράς κοιλίας ή εντόνως θετικό τεστ κόπωσης.
Αποτελεσματικότητα αορτοστεφανιαίας παρακάμψης
- Η ΑΣΠ μειώνει σημαντικά την εμφάνιση των συμπτωμάτων στηθάγχης, βελτιώνει την ποιότητα ζωής και αυξάνει τη φυσική δραστηριότητα. Μετά το χειρουργείο η ανακούφιση των ασθενών από τον πόνο (στηθάγχη) επιτυγχάνεται σε ένα ποσοστό 75 έως 90%, ενώ εάν ο ασθενής έμενε μόνο έστω και με την καλύτερη φαρμακευτική αγωγή το ποσοστό αυτό είναι σαφώς μικρότερο. Η υποτροπή της στηθάγχης συνήθως οφείλεται στην περαιτέρω επιδείνωση της νόσου και σε στένωση ή απόφραξη ιδίως των φλεβικών μοσχευμάτων. Γι’ αυτό ένα ποσοστό 10-15% περίπου από τους χειρουργημένους ασθενείς θα επανεγχειρησθούν μέσα στα επόμενα 10-12 χρόνια. Η επανεπέμβαση έχει περίπου 2 φορές υψηλότερο κίνδυνο της πρώτης επέμβασης.
- Η 10-ετής επιβίωση κυμαίνεται στο 77% και ελαττώνεται στο 15% στα 30 χρόνια.
- Το 10-ετές όφελος από την ΑΣΠ σε σύγκριση με την συντηρητική αντιμετώπιση χάνεται σε όσους έχουν μόνο φλεβικά μοσχεύματα.
- Η αποτελέσμαικότητα της ΑΣΠ είναι καλύτερη στους άνδρες από ότι στις γυναίκες, ίσως γιατί τα γυναικεία αγγεία είναι μικρότερης διαμέτρου και πιο εύθρυπτα αλλά και η ηλικία των γυναικών που οδηγούνται προς χειρουργείο είναι μεγαλύτερη. Παρ΄ όλα αυτά ο μέσος όρος επιβίωσης δεν διαφέρει μεταξύ των δύο φύλων.
- Η βατότης των φλεβικών μοσχευμάτων μέσα στους πρώτους 6 μήνες είναι πάνω από 80%. Μετά τους 6 μήνες οι πιθανότητες να μείνουν ανοιχτά είναι πολύ μεγάλες. Το ετήσιο ποσοστό απόφραξης των φλεβικών μοσχευμάτων είναι περίπου 2%.
- Εν αντιθέσει με τα φλεβικά, τα αρτηριακά μοσχεύματα όπως η έσω μαστική, παραμένουν βατά (ανοιχτά) για πολλά χρόνια σε εξαιρετικά μεγάλο ποσοστό (πάνω από 90% στη 10ετία).
- Η χειρουργική θνητότης κυμαίνεται από 1 εως 3% αλλά ποικίλει ανάλογα με κάθε περίπτωση.
Η χειρουργική θνητότης και η μελλοντική πορεία επηρρεάζονται από τα ακόλουθα:
- Προχωρημένη ηλικία
- Το κάπνισμα
- Γυναικείο φύλο (η αιτία γι΄αυτό ακόμη συζητείται, αλλά είναι πιθανώς πολυπαραγοντική)
- Διαβήτη
- Υπέρβαρα άτομα ή παχύσαρκα
- Κοντό ανάστημα
- Άλλες ασθένειες
- Νόσος στελέχους, η κακή λειτουργία της αριστεράς κοιλίας και η πολυαγγειακή νόσο
- Επείγουσα επέμβαση για ασταθή στηθάγχη ή λίγο μετά από έμφραγμα του μυοκαρδίου.
Επιπλοκές
- Έμφραγμα του μυοκαρδίου εμφανίζεται στο 2 - 5% των χειρουργηθέντων, ίσως λίγο περισσότερο στις περιπτώσεις της διάχυτης βλάβης του μυοκαρδίου
- Οξεία νεφρική βλάβη
- Σύνδρομο χαμηλής παροχής που απαιτεί υποστήριξη
- Κοιλιακές αρρυθμίες
- Εγκεφαλικό επεισόδιο εμφανίζεται στο 2% των χειρουργηθέντων, αλλά στο ένα τρίτο παρατηρείται παθολογική ανταπόκριση στα ψυχομετρικά τεστ. Το πρόβλημα είναι ότι οι ασθενείς που χρειάζονται ΑΣΠ παρουσιάζουν αγγειακά προβλήματα και σε άλλα όργανα του σώματος οπότε η προεγχειρητική διερεύνηση είναι επιτακτική. Αυτό περιλαμβάνει έλεγχο για στένωση καρωτίδων.
- Βλάβες σε άλλα όργανα είναι σπάνιες σε προγραμματισμένη χειρουργική επέμβαση, αλλά ο κίνδυνος αυξάνεται με την παράταση του χρόνου επέμβασης και την αύξηση της ηλικίας.
- Αρρυθμίες τύπου κολπικής μαρμαρυγής ή πτερυγισμού εμφανίζονται σε ένα ποσοστό 40%.
- Η περικαρδίτις από ερεθισμό του περικαρδίου (σύνδρομο μετά περικαρδιοτομή) αποδίδεται μάλλον σε μη ειδική φλεγμονώδη αντίδραση και φθάνει στα 20%.
- Επίσης μπορεί να εμφανισθεί συλλογή πλευριτικού υγρού μετεγχειρητικώς
Παρακολούθηση
Προσοχή πρέπει να δοθεί στην δευτερογενή πρόληψη της ισχαιμικής καρδιοπάθειας. Η διακοπή του καπνίσματος είναι απαραίτητη, αν δεν έχει γίνει ήδη. Απαιτείται μακροχρόνια λήψη ασπιρίνης. Στατίνες πρέπει να λαμβάνονται για την επίτευξη βέλτιστων επιπέδων χοληστερόλης. Ο έλεγχος της αρτηριακής πίεσης και του σακχαρώδη διαβήτη, αν υπάρχει, είναι σημαντικό για την καλύτερη ρύθμισή τους. Τακτική άσκηση σε συνδυασμό με υγιεινή διατροφή.